Cas cliniques
Prothèses implantaires fixées réalisées par le Docteur Maxime MARCHOU
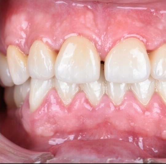
Avant
Après
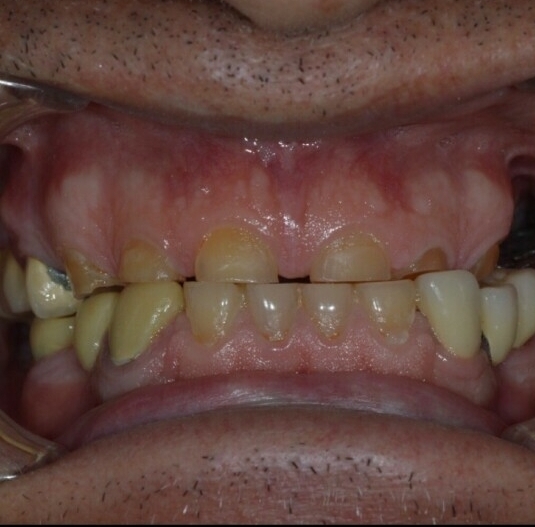
Avant
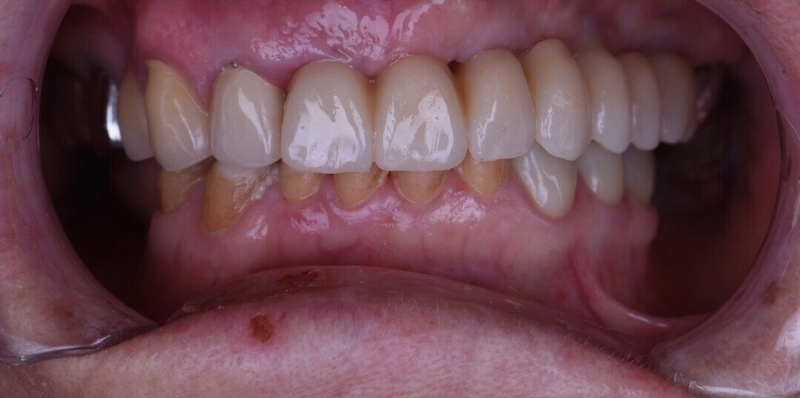
Après
Avant
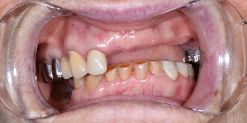
Après
Avant
Après
Avant
Après
Avant
Après
Avant
Après
